- 医療関係者向けホーム
- 医療関連情報
- 肺読-haidoku-クイズで学ぶILDとILD-PH診断のポイント
- Q1 胸部異常影を指摘された自覚症状のない40代女性
【監修】
神奈川県立循環器呼吸器病センター 所長 小倉 髙志 先生
【出題・画像提供】
神奈川県立循環器呼吸器病センター 呼吸器内科 部長 馬場 智尚 先生
胸部異常影を指摘された自覚症状のない40代女性
この症例の病理パターンは?
| 症例 | 40代女性 |
|---|---|
| 主訴 | 胸部異常影 |
| 既往歴 | なし |
| 嗜好歴 |
|
| 生活歴 |
|
| 家族歴 |
|
| 現病歴 |
|
| 血液所見 |
|
|---|---|
| 気管支肺胞洗浄 | 未実施 |
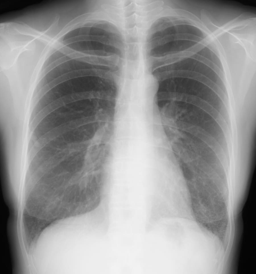
DATA 1| X 線検査結果
画像にマウスオン(またはタップ)すると虫眼鏡で拡大できます



特発性非特異性間質性肺炎
びまん性の肺胞隔壁の線維性肥厚、軽度のリンパ球・形質細胞浸潤をみとめ、fibrotic NSIPの病理診断。
抗ARS抗体、抗SS-A抗体陽性であり、膠原病科にコンサルテーションしたものの、明らかな膠原病の所見はなく、特発性間質性肺炎の範疇である。
HRCTでは一見、非区域性に胸膜に接して広がる網状変化で、NSIPには特徴的でない(典型例は胸膜直下をスペアして気管支血管束に沿って広がる)。しかし、横隔膜直上では変化が軽微で、局在的には微細網状変化で均質性があり、NSIPの特徴も有し、生検が必要な症例である。