- 医療関係者向けホーム
- 医療関連情報
- 肺読-haidoku-クイズで学ぶILDとILD-PH診断のポイント
- Q2 胸部異常影を指摘された膠原病疑いの60代女性
【監修】
神奈川県立循環器呼吸器病センター 所長 小倉 髙志 先生
【出題・画像提供】
神奈川県立循環器呼吸器病センター 呼吸器内科 部長 馬場 智尚 先生
胸部異常影を指摘された膠原病疑いの60代女性
この症例で肺高血圧症の存在を疑う所見は?
| 症例 | 60代女性 |
|---|---|
| 主訴 | 胸部異常影 |
| 既往歴 | 甲状腺機能亢進症・逆流性食道炎 |
| 嗜好歴 |
|
| 生活歴 |
|
| 家族歴 |
|
| 現病歴 |
|
| 血液所見 |
|
|---|---|
| 6分間歩行検査 |
|
| 動脈血液 ガス分析 |
|
| 呼吸機能検査 |
|
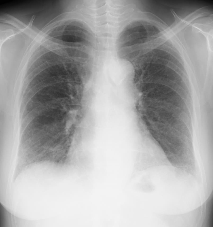
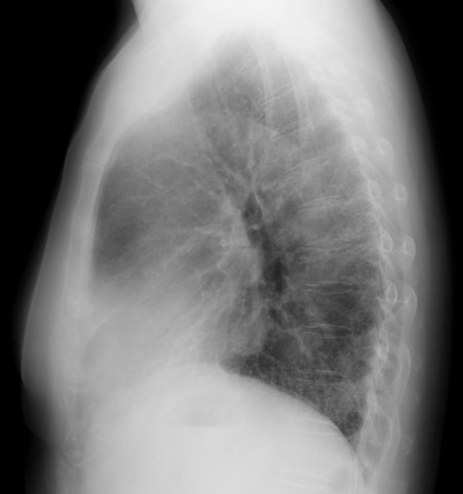
DATA 1| X 線検査結果
画像にマウスオン(またはタップ)すると虫眼鏡で拡大できます
できます
DATA 2| CT検査結果
DATA 3| MDD
画像にマウスオン(またはタップ)すると虫眼鏡で拡大できます
【画像】
気管支血管束に沿う均質な網状変化と重なるすりガラス影。
一部、胸膜下をスペア。fNSIP+UIP混在。
肺動脈は太めで食道の拡張あり、膠原病肺の疑い。
【BAL】
細胞数:192x103/mL
Mf:84%
lym:13%
neut:1%
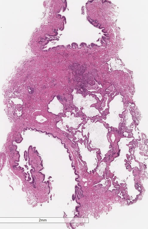
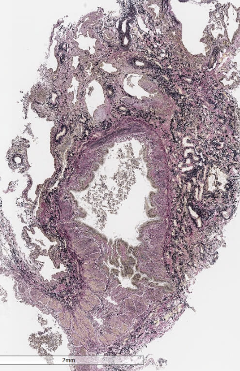
【クライオ肺生検組織】
右B8a:拡張気管支と、周囲の肺胞に細気管支上皮の被覆及び胞隔の線維性肥厚。
右B8b:拡張気管支と、周囲の肺胞の虚脱を伴う線維化。拡張した気腔にせり出す幼弱な線維芽細胞巣。
#fNSIP+UIPの混在
【MDD】
特発性間質性肺炎・分類不能型(fNSIP+UIP混在。膠原病肺疑い)
できます
Answerは会員限定です。
以下よりログインまたは新規登録をしてください。


