- 医療関係者向けホーム
- 医療関連情報
- 肺読-haidoku-クイズで学ぶILDとILD-PH診断のポイント
- Q3 呼吸困難を訴える40代男性(事務職)
【監修】
神奈川県立循環器呼吸器病センター 所長 小倉 髙志 先生
【出題・画像提供】
神奈川県立循環器呼吸器病センター 呼吸器内科 部長 馬場 智尚 先生
呼吸困難を訴える40代男性(事務職)
この症例で最も考えにくい疾患は?
| 症例 | 40代男性 |
|---|---|
| 主訴 | 呼吸困難 |
| 既往歴 | 高血圧 |
| 嗜好歴 |
|
| 生活歴 |
|
| 家族歴 |
|
| 現病歴 |
|
| 血液所見 |
|
|---|---|
| 気管支 肺胞洗浄 |
|
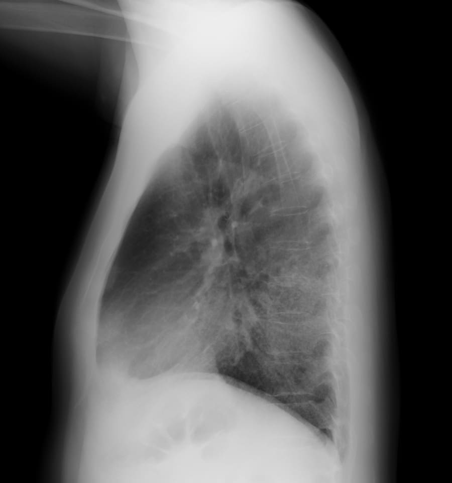
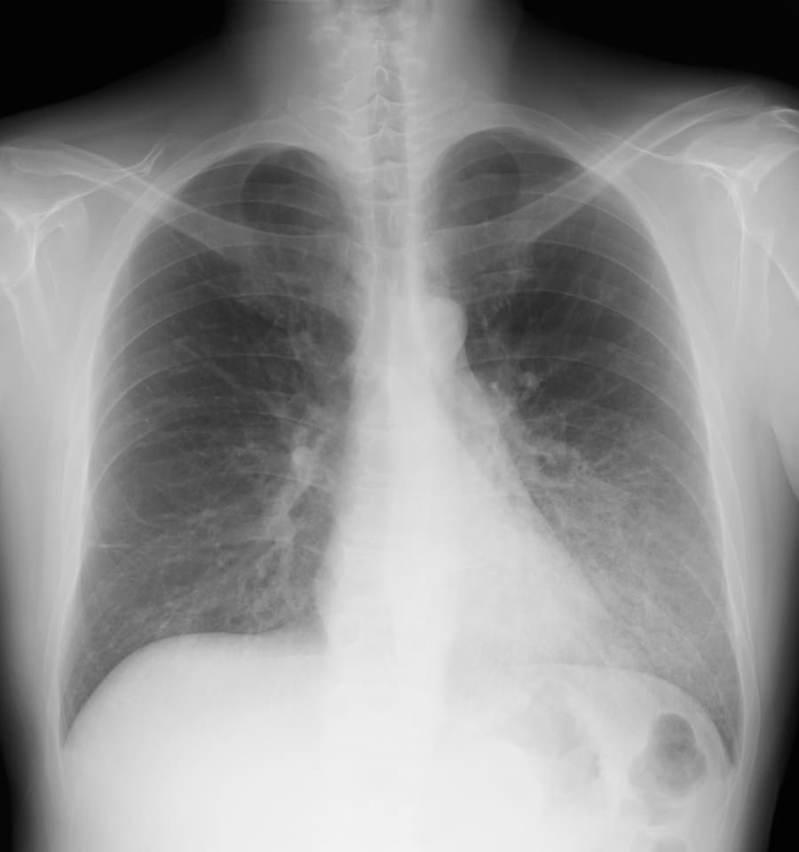
DATA 1| X 線検査結果
画像にマウスオン(またはタップ)すると虫眼鏡で拡大できます
できます
DATA 2| CT検査結果
DATA 3| CT検査結果(呼気CT)
DATA4| CT検査結果(縦隔条件)
Answerは会員限定です。
以下よりログインまたは新規登録をしてください。


