- 医療関係者向けホーム
- 医療関連情報
- 内視鏡クイズ
- 鑑別編
- 自治医科大学編 Q4
鑑別編
内視鏡像を基に診断してみよう
自治医科大学編
10日前から下痢、血便を認める患者さんの診断名は?
難易度:★☆☆
【監修】
自治医科大学 内科学講座 消化器内科学部門 教授 矢野 智則 先生
【出題・写真提供】
自治医科大学 内科学講座 消化器内科学部門 病院助教 宮原 晶子 先生
88歳 男性
- 普段は便秘がちであったが、来院10日前より、1日3回程度の下痢が出現。
- 来院2日前より血便も出現し、精査加療を目的に、当院へ紹介受診となった。
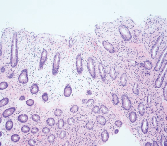
- 出血源の検索を目的に、大腸内視鏡検査および生検組織学的検査を施行した。
●大腸内視鏡検査
●生検組織学的検査
- 既往歴
- :高血圧症、糖尿病
- 家族歴
- :特記なし
- 使用薬剤
- :降圧薬、経口血糖降下薬
- 排便回数
- :1日3回 軟便
- 顕血便
- :あり
- 発熱
- :なし
- 脈拍数
- :86/分
- 血液検査
- :Hb 15.0g/dL
CRP 0.01mg/dL
